A little accident… a big problem
So yesterday, I picked up a box off the kitchen table, and turned to head to the garage. To be more precise, my body, (and the box, which was quite heavy) turned. Alas my shoe, one of those horrible looking, but strangely comfortable, Crocs, did not. My right foot flipped sideways, and I landed on the floor with a crash, and in considerable pain.
But being the tough guy that I am, I walked it off… at first… as I ran some errands. But by the time I returned home, I was forced to dig my cane out of the closet. I elevated and iced through the evening, popped a couple of Acetaminophen, and managed to sleep until about four AM, when the pain returned with a vengeance. I spent the wee hours of the morn icing and elevating again, but by the time the kids came down, I had to send my daughter into the garage to grab my crutches (which are always kept handy for exactly these types of circumstances).
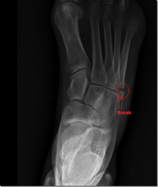
Around 9:30 AM, we sent the kids over to the neighbors, while my wife took me to the ER. Behold the resulting picture, in which I have clearly labeled a fracture in my 5th metatarsal.
I now have a boot on my foot that weighs a ton, and am trying to keep the foot iced and elevated as much as possible. I have to talk to an orthopedic surgeon on Monday to see if I need surgery. The gap between the bones may be significant enough to require a pin to hold it together. Either way, I’m probably looking at 6-8 weeks to heal.
Since this is my right foot, I’ll be unable to drive until the boot comes off, which will be a royal pain in the keester. If you’re going to hurt a foot, hurt your left one, not the right.
The good news, if there is any, is that with the boot on, the foot doesn’t seem to hurt much. I haven’t needed any pain meds today. I told you I was tough. But I also know that sleeping with the boot on is brutal, so don’t expect me to be chipper early in the day for the next while.
You’ll notice a new tag associated with this post: The misadventures of the clumsiest, most accident-prone man in the world. It’s not a claim I make without empirical evidence. I’ve actually thought about turning some of these accidents into a book someday. For now, I’ll just blog about them, and maybe, someday in the distant future, there will be some kind of reward for a title earned by a propensity for bad luck.



Pingback: 22 Months With Guillain Barre Syndrome |